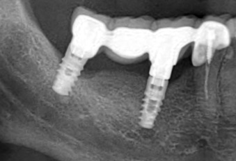
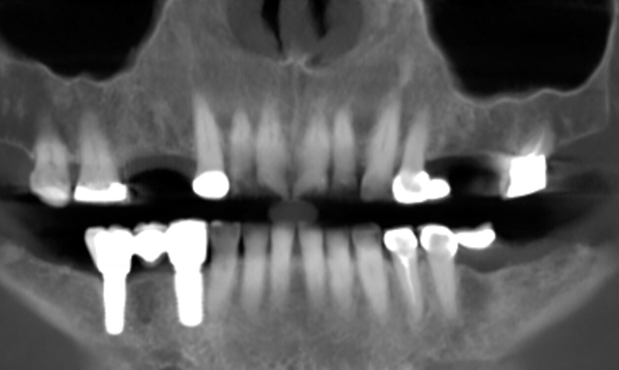
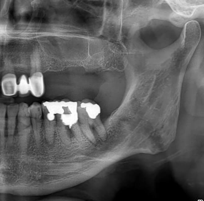
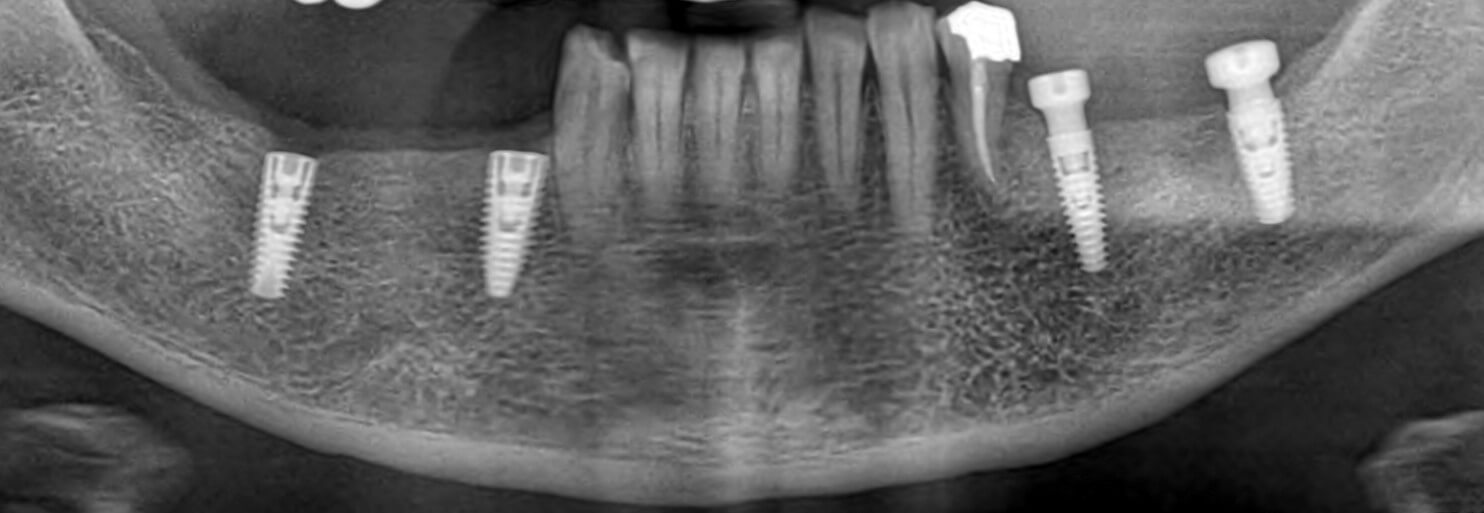
Φωτογραφίες περιστατικών
Αποστολή μας στη Στοματική Χειρουργική Ήλιδας είναι να σας παρέχουμε την πιο σύγχρονη οδοντιατρική φροντίδα για να δημιουργήσετε το χαμόγελο που πάντα θέλατε.
Αποστολή μας στη Στοματική Χειρουργική Ήλιδας είναι να σας παρέχουμε την πιο σύγχρονη οδοντιατρική φροντίδα για να δημιουργήσετε το χαμόγελο που πάντα θέλατε.
